Sondata Dental
  • Home
  • Servizi
  • Turismo Dentale
  • Galleria
  • Contatti
  • Privacy Policy
Prenota Ora

Prima e Dopo

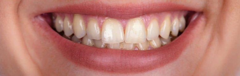
Scopri i risultati reali dei nostri trattamenti dentali. Qui puoi vedere le trasformazioni dei nostri pazienti grazie a sbiancamenti, faccette estetiche e ortodonzia moderna. Tocca o clicca sulle immagini per vedere il risultato "Dopo" e lasciati ispirare per il tuo sorriso perfetto!

Prima Dopo

Trattamento sbiancamento dentale

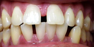
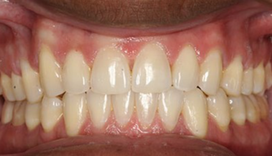
Prima Dopo

Trattamento ortodontico

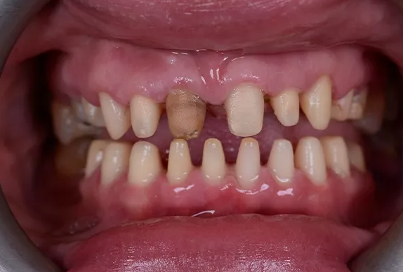
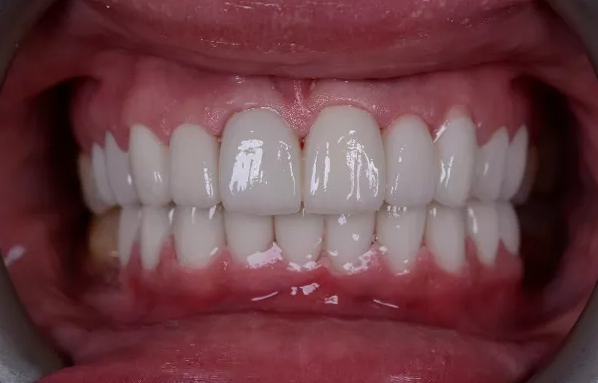
Prima Dopo

Trattamento facette EMAX

Pagine Utili

  • Home
  • Chi Siamo
  • Servizi
  • Galleria
  • Turismo Dentale
  • Privacy Policy
Seguici su Facebook info@sondatadental.com

© 2025 La Tua Clinica Dentale — Tutti i diritti riservati.